歯周病の原因とは?細菌・生活習慣・全身の病気との関係をわかりやすく解説
「歯ぐきから血が出る」「口臭が気になる」——そんな症状に心当たりはありませんか?
もしかすると、それは歯周病のサインかもしれません。
歯周病は、日本人の成人の約8割が何らかの症状を抱えているともいわれる、非常に身近な病気です。
しかし、「自分はまだ大丈夫」と思って放置してしまう方がとても多いのも事実です。
歯周病の怖いところは、初期段階ではほとんど痛みがないまま静かに進行し、気づいたときには歯肉や歯を支える骨にまで大きなダメージが及んでいることがある点です。
この記事では、歯周病の原因を「お口の中の細菌」「生活習慣」「全身の病気」という3つの視点からわかりやすく解説します。
あわせて、治療の流れや費用、保険が適用されるかどうかなど、患者さんが気になるポイントもまとめていますので、ぜひ最後までご覧ください。
🦷 歯周病とはどんな病気?まず基本を知ろう

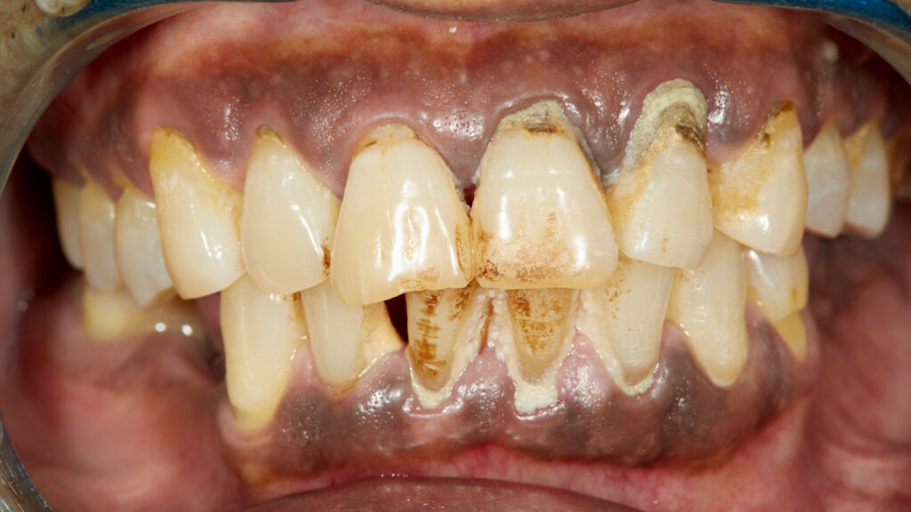
歯周病は、お口の中の細菌が原因で歯肉(歯ぐき)に炎症が起こり、進行すると歯を支える骨まで溶かしてしまう病気です。
まずは歯周病の基本的な仕組みと、進行段階について確認していきましょう。
📌 歯周病の定義と進行のメカニズム
歯周病とは、歯と歯肉の境目(歯周ポケット)に細菌が繁殖し、歯肉やその周囲の組織に炎症を引き起こす病気の総称です。
「歯槽膿漏(しそうのうろう)」という言葉を聞いたことがある方もいらっしゃるかもしれませんが、これも歯周病の一種を指す表現として使われてきました。
歯周病の進行は、一般的に以下のような段階をたどります。
【歯周病の進行ステージ】
① 歯肉炎(初期段階)
歯肉に軽い炎症が起き、歯みがきのときに出血しやすくなります。
この段階では骨への影響はなく、適切なケアを行えば回復が見込めるとされています。
② 軽度歯周炎
歯周ポケットが深くなり、細菌がさらに奥へ入り込みます。
歯肉の腫れや出血がやや目立つようになり、口臭を感じ始める方もいます。
③ 中等度〜重度歯周炎
歯を支える歯槽骨(しそうこつ)が破壊され始め、歯がグラグラと動揺するようになります。
重度になると、最終的に歯が抜け落ちてしまうこともあります。
歯周病は「サイレント・ディジーズ(静かな病気)」とも呼ばれ、初期には自覚症状がほとんどないことが大きな特徴です。
そのため、定期的な歯科検診やレントゲン検査で早期に発見することがとても重要になります。
📌 歯肉炎と歯周炎の違いとは?
「歯肉炎」と「歯周炎」は似た言葉ですが、病気の範囲と深刻さに大きな違いがあります。
歯肉炎は、炎症が歯肉の表面に限定されている状態です。
適切な歯みがきやクリーニングによって改善が期待できる段階といえます。
一方、歯周炎は炎症が歯肉の奥の歯根膜(しこんまく)や歯槽骨にまで広がった状態を指します。
一度破壊された骨は自然には元に戻りにくいため、より専門的な治療が必要になることが一般的です。
つまり、歯肉炎の段階で気づいて対処できるかどうかが、歯周病の進行を食い止める大きな分かれ道になるのです。
🔬 歯周病の原因①|お口の中の細菌と歯垢・歯石

歯周病の最大の原因は、お口の中に生息する細菌です。
特に歯垢(プラーク)や歯石の中に潜む細菌が、歯肉に炎症を引き起こす直接的な要因とされています。
ここでは、細菌がどのように歯周病を進行させるのか、そのメカニズムを詳しく見ていきましょう。
📌 プラーク(歯垢)に潜む細菌の正体
食事をした後、歯の表面にはネバネバとした膜のようなものが付着します。
これがプラーク(歯垢)で、実は1mgのプラークの中には約1億個以上もの細菌が存在するといわれています。
プラークに含まれる細菌は、糖分をエサにして増殖し、代謝の過程で毒素や酵素を産生します。
この細菌が出す毒素が歯肉の組織を刺激することで、炎症反応が引き起こされるのです。
歯周病に関与する代表的な細菌としては、以下のようなものが知られています。
・P.g.菌(ポルフィロモナス・ジンジバリス):歯周病の主要な原因菌のひとつ
・T.f.菌(タネレラ・フォーサイシア):重度の歯周病との関連が指摘される細菌
・A.a.菌(アグリゲイティバクター・アクチノミセテムコミタンス):若年性歯周炎に関連することがある細菌
これらの細菌は酸素の少ない環境を好む「嫌気性菌」と呼ばれる種類で、歯周ポケットの深い部分で活発に活動します。
日々の歯みがきでプラークを取り除くことが、細菌の繁殖を抑える最も基本的な対策です。
また、歯科医院で行うプラークの染め出し検査を受けると、自分では磨けていると思っていた部分に実は汚れが残っていたと気づくケースも少なくありません。
📌 歯石が歯周病を悪化させるメカニズム
プラークが長時間放置されると、唾液中のカルシウムやリン酸と結合して�ite化し、歯石になります。
歯石は歯みがきだけでは取り除くことができず、歯科医院での専用の器具を使ったクリーニング(スケーリング)が必要です。
歯石そのものが直接歯周病を引き起こすわけではありませんが、歯石の表面はザラザラしているため、さらに新しいプラークや細菌が付着しやすくなります。
つまり、歯石がある状態は細菌にとって「住みやすい環境」を提供してしまうことになるのです。
歯石は歯肉の上にできる「歯肉縁上歯石」と、歯周ポケットの中にできる「歯肉縁下歯石」の2種類に分けられます。
歯肉縁下歯石は目に見えにくく、歯肉の内側に付着しているため、除去には専門的な技術が必要となります。
歯科医院では、レントゲン撮影やプロービング検査(歯周ポケットの深さを測る検査)を組み合わせて、歯石の付着状況や歯周病の進行度を総合的に評価します。
定期的に歯石を除去するクリーニングを受けることは、歯周病の予防と進行抑制において非常に大切です。
📌 バイオフィルムとは?細菌が集団で作る「見えない膜」
近年、歯科の分野で注目されているのが「バイオフィルム」という概念です。
バイオフィルムとは、細菌同士が集まって膜のような構造物を形成したもので、お風呂の排水口や台所のぬめりに例えられることもあります。
歯の表面に形成されたバイオフィルムの中の細菌は、外部からの攻撃(抗菌薬や免疫細胞の働き)に対して非常に強い抵抗力を持ちます。
そのため、うがい薬だけではバイオフィルムを十分に除去することは難しく、物理的にブラシで擦り落とすことが重要になるのです。
歯科医院で行うPMTC(プロフェッショナル・メカニカル・トゥース・クリーニング)は、このバイオフィルムを専用の機器で効率よく除去する処置で、セルフケアと組み合わせることでより効果的な予防が期待できます。
🍎 歯周病の原因②|生活習慣やストレスとの深い関係

歯周病の原因は細菌だけではありません。
日常の生活習慣やストレスなどの環境的な要因が、歯周病のリスクを高めたり進行を加速させたりすることがわかっています。
ここでは、生活習慣と歯周病の関係を具体的に解説します。
📌 喫煙が歯肉と歯周組織に与えるダメージ
喫煙は、歯周病の最大のリスクファクター(危険因子)のひとつとされています。
タバコに含まれるニコチンや一酸化炭素は、歯肉の血管を収縮させ、血流を悪化させます。
その結果、歯肉に十分な酸素や栄養が行き渡らなくなり、細菌に対する免疫力が低下してしまうのです。
さらに厄介なのは、喫煙者の歯肉は炎症があっても出血しにくくなる傾向がある点です。
出血は歯周病に気づくきっかけになることが多いのですが、その「サイン」が出にくいために発見が遅れ、知らないうちに重症化してしまうケースが見られます。
研究データでは、喫煙者は非喫煙者と比較して歯周病の発症リスクが2〜6倍程度高いとする報告もあり、治療後の回復にも時間がかかりやすいとされています。
📌 ストレス・睡眠不足・食生活の影響
現代社会では多くの方が慢性的なストレスを抱えていますが、実はストレスと歯周病にも関連性があるとされています。
ストレスが長期間続くと、体内ではコルチゾールなどのストレスホルモンが多く分泌されます。
これにより免疫機能が低下し、細菌に対する抵抗力が弱まることで、歯肉の炎症が悪化しやすくなると考えられています。
また、ストレスが原因で歯ぎしりや食いしばり(ブラキシズム)が起こることもあります。
過度な力が歯や歯周組織にかかると、歯肉や骨にダメージが蓄積し、歯周病の進行を早める要因になりえます。
加えて、睡眠不足や偏った食生活も免疫力の低下につながり、細菌への抵抗力を弱めます。
ビタミンCやビタミンD、カルシウムなどの栄養素が不足すると、歯肉の健康を維持しにくくなります。
糖分の多い食事は、プラーク内の細菌の活動を活発にするため、歯周病のリスクを間接的に高めることにつながります。
📌 歯みがき習慣と口腔ケアの見直しポイント
毎日歯を磨いていても、磨き方に癖があったり、歯間のケアが不十分だったりすると、プラークは確実に蓄積していきます。
歯科医療の現場では、患者さんの歯みがきの仕方を確認してみると「力を入れすぎて歯肉を傷つけている」「奥歯の裏側にまったくブラシが届いていない」という方が非常に多い印象があります。
効果的な口腔ケアのポイントとしては、以下のようなことが挙げられます。
・歯ブラシは毛先がやわらかめ〜ふつうのものを選び、小刻みに動かす
・歯と歯肉の境目に毛先を45度の角度で当てる(バス法)
・デンタルフロスや歯間ブラシで歯と歯の間のプラークを除去する
・洗口剤(マウスウォッシュ)は補助的に使用する
特にデンタルフロスや歯間ブラシの使用は、歯ブラシだけでは届かない部位の細菌を除去するために非常に有効です。
歯科医院で自分に合ったケア用品の選び方やブラッシング指導を受けることをおすすめします。
🏥 歯周病の原因③|全身の病気との深いつながり

歯周病はお口だけの問題にとどまらず、全身のさまざまな病気と関連していることが近年の研究で明らかになってきています。
特に糖尿病との関係はよく知られており、双方向に影響し合うことがわかっています。
ここでは、歯周病と全身疾患の関係について解説します。
📌 糖尿病と歯周病の相互関係
歯周病と糖尿病は「双方向の関係」にあるとされ、お互いに影響を及ぼし合う病気として多くの研究がなされています。
糖尿病の方は血糖値が高い状態が続くため、体全体の免疫機能が低下しやすくなります。
その結果、歯肉の細菌に対する防御力が下がり、歯周病が発症しやすく、かつ進行しやすい傾向があります。
逆に、歯周病による慢性的な炎症が血糖コントロールを悪化させる可能性も指摘されています。
歯肉の炎症によって産生される炎症性サイトカイン(TNF-αなど)が血流に乗って全身をめぐり、インスリンの働きを妨げると考えられているためです。
つまり、糖尿病の管理と歯周病の治療は切り離して考えるのではなく、両方を同時にケアしていくことが大切です。
糖尿病の治療を受けている方は、かかりつけの内科医と歯科医の連携のもとで口腔管理を行うことが推奨されています。
📌 心臓病・脳血管疾患・誤嚥性肺炎との関連
歯周病の原因菌が血流に入り込むと、心臓の血管壁に炎症を起こし、動脈硬化を促進させる可能性があるとする研究報告があります。
このことから、歯周病は心筋梗塞や狭心症といった心臓の病気のリスク因子のひとつになりうるとされています。
また、脳の血管で同様の炎症反応が起きれば、脳梗塞のリスクが高まる可能性も示唆されています。
さらに、高齢者に多い誤嚥性肺炎(ごえんせいはいえん)は、お口の中の細菌が唾液や食べ物と一緒に気管に入り込むことで発症する病気です。
歯周病菌をはじめとする口腔内の細菌を減らすことは、誤嚥性肺炎の予防にもつながると考えられています。
📌 妊娠と歯周病|早産・低体重児との関係
妊娠中はホルモンバランスの変化により、歯肉が腫れやすくなったり、出血しやすくなったりすることが知られています。
これを「妊娠性歯肉炎」と呼ぶことがあります。
歯周病が重度に進行している妊婦さんは、早産や低体重児出産のリスクが高まるという研究データも報告されています。
妊娠を希望される方や妊娠中の方は、早めに歯科検診を受けて歯肉の状態を確認しておくことが大切です。
多くの歯科医院では、妊婦さんに対しても安全に配慮したクリーニングや治療を行っていますので、気になる症状がある場合は遠慮なく相談されることをおすすめします。
📌 加齢・ホルモンバランス・遺伝的要因
歯周病は加齢とともに発症・進行しやすくなる傾向があります。
これは、年齢を重ねることで免疫力が低下し、歯肉の再生能力も徐々に衰えていくことが一因とされています。
また、女性の場合は更年期にホルモンバランスが大きく変化するため、歯肉が影響を受けやすくなる時期があります。
加えて、歯周病のなりやすさには遺伝的な要因が関与しているとする研究もあります。
ご家族に歯周病で歯を失った方がいる場合は、より意識的にケアと検診を続けることが望ましいでしょう。
💰 歯周病の治療と費用|保険は使える?通院回数は?

「歯周病の治療にはいくらかかるのか?」「保険は適用されるのか?」という疑問は、患者さんからとてもよく寄せられます。
歯周病の治療は段階的に行われるのが一般的で、費用は進行度や治療内容によって異なります。
ここでは、治療の流れと費用の目安をご紹介します。
📌 歯周病治療の一般的な流れ
歯周病の治療は、主に以下のようなステップで進められます。
【STEP 1】検査・診断
まず、歯周ポケットの深さを測るプロービング検査、レントゲン撮影、口腔内写真の撮影などを行い、歯周病の進行度を正確に把握します。
【STEP 2】基本治療(スケーリング・SRP)
歯石の除去(スケーリング)と、歯根面の清掃・滑沢化(SRP:スケーリング・ルートプレーニング)を行います。
これは歯周病治療の中核となる処置で、細菌の住み処であるプラークや歯石を徹底的に取り除くことが目的です。
あわせて、患者さん一人ひとりに合ったブラッシング指導(TBI)も行われます。
【STEP 3】再検査・評価
基本治療後に再度検査を行い、歯肉の改善状況や歯周ポケットの変化を確認します。
【STEP 4】外科治療(必要な場合)
基本治療で十分な改善が得られなかった場合、歯周外科手術(フラップ手術など)や再生療法が検討されることもあります。
ただし、外科治療が必要になるケースは全体の一部であり、多くの場合は基本治療とメンテナンスで管理が可能です。
【STEP 5】メンテナンス(SPT)
治療後は再発を防ぐために、定期的なメンテナンス(SPT:サポーティブ・ペリオドンタル・セラピー)が重要です。
一般的には3〜6か月に1回の通院が推奨されていますが、患者さんの状態によって間隔は歯医者によって異なります。
📌 費用の目安と保険適用について
歯周病の治療費は、多くの場合健康保険が適用されます。
保険適用の歯周病治療であれば、初診時の検査・レントゲン・歯石除去で3割負担の場合おおよそ3,000〜5,000円程度が目安です(歯科医院や地域によって異なります)。
再診時のスケーリングやSRPは、1回あたりおおよそ1,000〜3,000円程度が料金相場の目安とされていますが、治療する範囲や回数によって変動します。
一方、自費診療となる再生療法や一部の外科手術では、数万円〜十数万円の費用がかかる場合もあります。
「いくらかかるか不安」という方は、最初の検査の段階で歯科医師に治療計画と概算費用を確認しておくと安心です。
📌 通院回数・期間の目安
歯周病の治療期間は、進行度によって大きく異なります。
軽度の歯肉炎であれば、数回の通院で歯石除去とクリーニングを行い、改善が見られることもあります。
中等度以上の歯周炎の場合は、基本治療だけでも4〜8回程度の通院が必要になるケースが一般的です。
治療期間の目安としては、軽度で1〜2か月、中等度〜重度で3〜6か月以上かかることもあり、その後のメンテナンス期間も含めると長期的なお付き合いとなります。
「忙しくて何度も通えない」「仕事の都合で通院回数を減らしたい」という方は、事前に歯科医院で相談してみてください。
通院の頻度や1回あたりの治療時間について柔軟に対応してくれる歯科医院もあります。
❓ 歯周病の原因と治療に関するよくある質問(FAQ)

最後に、歯周病についてよくお寄せいただく質問にお答えします。
Q1. 歯周病は自然に治ることはありますか?
残念ながら、歯周病は自然治癒することがほとんどない病気です。
軽度の歯肉炎であれば、丁寧な歯みがきを続けることで歯肉の炎症が収まることもありますが、一度歯周炎に進行して骨の吸収が起きてしまうと、失われた骨が自然に元に戻ることは一般的にはありません。
症状がなくても定期検診で歯肉の状態をチェックし、早期に対処することが最善の方法です。
Q2. 歯周病の治療は痛いですか?
患者さんからもっとも多く聞かれる質問のひとつです。
一般的な歯石除去(スケーリング)であれば、軽い振動や「チクッ」とした感覚がある程度で、強い痛みを感じるケースは多くないとされています。
ただし、歯肉の深い部分の歯石を除去するSRPでは、痛みを感じやすい方もいるため、必要に応じて麻酔を使用することがあります。
痛みが不安な方は、事前に歯科医師やスタッフに伝えておくと配慮してもらえるでしょう。
Q3. 歯周病は他の人にうつりますか?
歯周病の原因となる細菌は、唾液を介して他の人に感染する可能性があると考えられています。
たとえば、ご家族との食器の共有やキスなどによって、歯周病に関わる細菌が移ることがありえます。
ただし、細菌が移ったからといって必ず歯周病を発症するわけではなく、その方自身の免疫力や口腔ケアの状態によって左右されます。
ご家族全員で口腔ケアの意識を高めることが、お互いの歯肉の健康を守ることにつながります。
Q4. 歯周病予防のためにどのくらいの頻度で歯科に通えばよいですか?
一般的には、3〜6か月に1回の定期検診・クリーニングが推奨されています。
ただし、歯周病のリスクが高い方(喫煙者、糖尿病をお持ちの方、過去に歯周病の治療を受けた方など)は、より短い間隔での通院が望ましい場合もあります。
適切な通院頻度はお口の状態によって異なりますので、かかりつけの歯科医院で相談されることをおすすめします。
Q5. 全身の病気があると歯周病は悪化しやすいですか?
はい、全身の健康状態と歯周病には密接な関連があります。
特に糖尿病は歯周病との相互関係が多くの研究で示されており、血糖コントロールが不良だと歯肉の炎症が悪化しやすくなります。
そのほかにも、骨粗しょう症、心臓の病気、免疫に関わる病気などが歯周病の進行に影響を与える可能性があるとされています。
持病のある方は、内科の主治医と歯科医の両方に情報を共有しながら治療を進めていくことが理想的です。
📝 まとめ|歯周病の原因を知り、早めの行動を
歯周病は、お口の中の細菌を主な原因として、生活習慣や全身の病気など複数の要因が複雑に絡み合って発症・進行する病気です。
この記事のポイントを振り返ると、以下のようになります。
✅ 歯周病の直接的な原因は、プラーク(歯垢)に含まれる細菌
✅ 歯石はセルフケアでは除去できず、細菌の温床となる
✅ 喫煙・ストレス・食生活の乱れが歯肉の抵抗力を下げる
✅ 糖尿病をはじめとする全身の病気との相互関係がある
✅ 治療は保険適用が可能で、早期であれば費用・通院負担も比較的軽い
歯周病は、早期に原因を把握し、適切な治療とケアを続けることで進行を抑えられる病気です。
「もしかして歯周病かも?」と感じたら、まずはお近くの歯科医院で検査を受けてみてはいかがでしょうか。
あなたの歯と歯肉の健康を守るための第一歩は、「知ること」から始まります。
この記事が、その一助となれば幸いです。








